Review Articles
Vol. 10 (2018): Review Articles, Original Articles, Scientific Letters, Case Reports
DISSEMINATED HISTOPLASMOSIS AS AIDS PRESENTATION. CASE REPORT AND COMPREHENSIVE REVIEW OF CURRENT LITERATURE
Publisher's note
All claims expressed in this article are solely those of the authors and do not necessarily represent those of their affiliated organizations, or those of the publisher, the editors and the reviewers. Any product that may be evaluated in this article or claim that may be made by its manufacturer is not guaranteed or endorsed by the publisher.
All claims expressed in this article are solely those of the authors and do not necessarily represent those of their affiliated organizations, or those of the publisher, the editors and the reviewers. Any product that may be evaluated in this article or claim that may be made by its manufacturer is not guaranteed or endorsed by the publisher.
Received: March 23, 2018
Accepted: May 14, 2018
Accepted: May 14, 2018
4254
Views
4761
Downloads
702
HTML
Infectious Diseases,
Pathology,
Microbiology,
Hematology
Authors
Department of Infectious and Tropical Diseases, University of Brescia and ASST Spedali Civili General Hospital, Brescia, Italy, .
Department of Infectious and Tropical Diseases, University of Brescia and ASST Spedali Civili General Hospital, Brescia, Italy, .
Department of Infectious and Tropical Diseases, University of Brescia and ASST Spedali Civili General Hospital, Brescia, Italy, .
Pathology Unit, University of Brescia and ASST Spedali Civili General Hospital, Brescia, Italy, .
Unit of Infectious Diseases, Carlo Poma Hospital, Mantova, .
Department of Infectious and Tropical Diseases, University of Brescia and ASST Spedali Civili General Hospital, Brescia, Italy, .
Department of Infectious and Tropical Diseases, University of Brescia and ASST Spedali Civili General Hospital, Brescia, Italy, .
Microbiology and Virology Unit, University of Brescia and ASST Spedali Civili General Hospital, Brescia, Italy, .
Microbiology and Virology Unit, University of Brescia and ASST Spedali Civili General Hospital, Brescia, Italy
Institute of Microbiology and Virology, Department of Biomedical, Surgical and Dental Sciences, University of Milan, Italy, .
Pathology Unit, University of Brescia and ASST Spedali Civili General Hospital, Brescia, Italy, .
Department of Infectious and Tropical Diseases, University of Brescia and ASST Spedali Civili General Hospital, Brescia, Italy, .
Department of Infectious and Tropical Diseases, University of Brescia and ASST Spedali Civili General Hospital, Brescia, Italy, Italy.
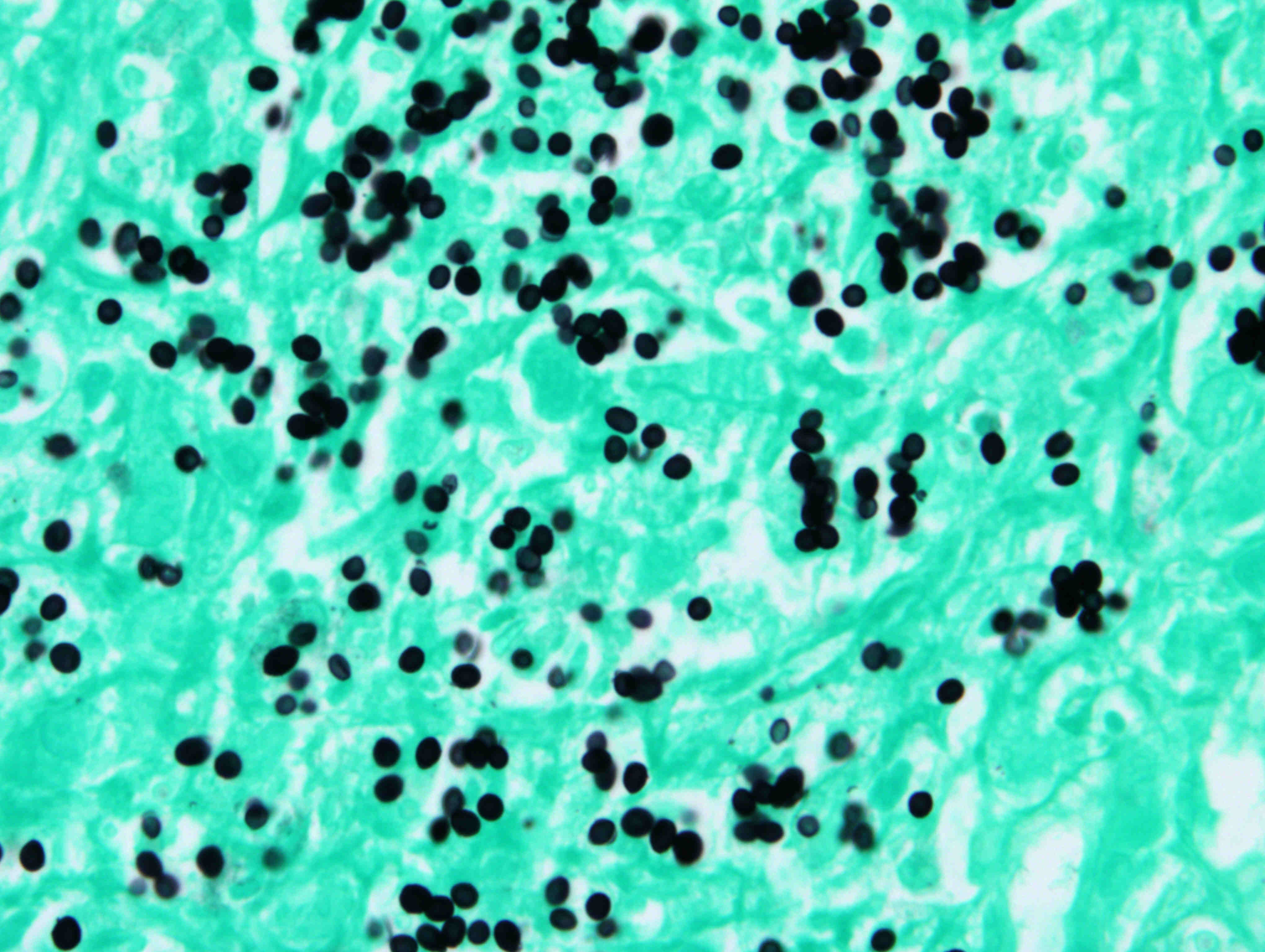
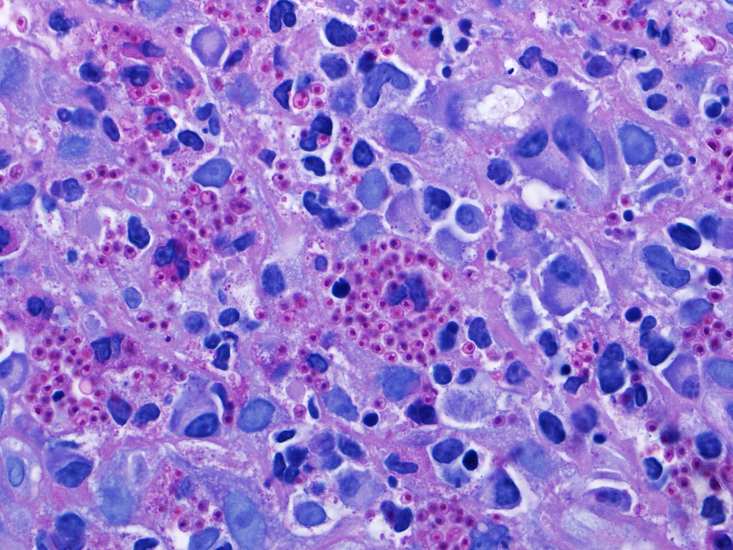
Progressive disseminated histoplasmosis (PDH) is an AIDS-defining illness with a high lethality rate if not promptly treated. The wide range of its possible clinical manifestations represents the main barrier to diagnosis in non-endemic countries. Here we present a case of PDH with haemophagocytic syndrome in a newly diagnosed HIV patient and a comprehensive review of disseminated histoplasmosis focused on epidemiology, clinical features, diagnostic tools and treatment options in HIV-infected patients.
Subedee A, Van Sickels N. Hemophagocytic Syndrome in the Setting of AIDS and Disseminated Histoplasmosis: Case Report and a Review of Literature. J Int Assoc Provid AIDS Care. 2015 Sep-Oct;14(5):391-7.
Horwath MC, Fecher RA, Deepe GS Jr. Histoplasma capsulatum, lung infection and immunity. Future Microbiol. 2015;10(6):967-75.
Jones JL, Hanson DL, Dworkin MS, Alderton DL, Fleming PL, Kaplan JE, Ward J Surveillance for AIDS-defining opportunistic illnesses, 1992-1997. MMWR CDC Surveill Summ. 1999 Apr 16;48(2):1-22.
Martin-Iguacel R, Kurtzhals J, Jouvion G, Nielsen SD, Llibre JM. Progressive disseminated histoplasmosis in the HIV population in Europe in the HAART era. Case report and literature review. Infection. 2014 Aug;42(4):611-20.
Daher EF, Silva GB Jr, Barros FA, Takeda CF, Mota RM, Ferreira MT, Oliveira SA, Martins JC, Araújo SM, Gutiérrez-Adrianzén OA. Clinical and laboratory features of disseminated histoplasmosis in HIV patients from Brazil. Trop Med Int Health. 2007 Sep;12(9):1108-15.
Istituto Superiore di Sanità. Aggiornamento delle nuove diagnosi di infezione da HIV e dei casi di AIDS in Italia al 31 Dicembre 2016.
Bahr NC, Antinori S, Wheat LJ, Sarosi GA. Histoplasmosis infections worldwide: thinking outside of the Ohio River valley. Curr Trop Med Rep. 2015 Jun 1;2(2):70-80.
Benedict K, Mody RK. Epidemiology of Histoplasmosis Outbreaks, United States, 1938-2013. Emerg Infect Dis. 2016 Mar;22(3):370-8.
Colombo AL, Tobón A, Restrepo A, Queiroz-Telles F, Nucci M. Epidemiology of endemic systemic fungal infections in Latin America. Med Mycol. 2011 Nov;49(8):785-98.
Wang TL1, Cheah JS, Holmberg K. Case report and review of disseminated histoplasmosis in South-East Asia: clinical and epidemiological implications. Trop Med Int Health. 1996 Feb;1(1):35-42.
Gugnani HC. Histoplasmosis in Africa: a review. Indian J Chest Dis Allied Sci. 2000 Oct-Dec;42(4):271-7.
Confalonieri M1, Nanetti A, Gandola L, Colavecchio A, Aiolfi S, Cannatelli G, Parigi P, Scartabellati A, Della Porta R, Mazzoni A. Histoplasmosis capsulati in Italy: autochthonous or imported? Eur J Epidemiol. 1994 Aug;10(4):435-9.
Ashbee HR, Evans EGV, Viviani MA, Dupont B, Chryssanthou E, Surmont I, et al. Histoplasmosis in Europe: report on an epidemiological survey from the European Confederation of Medical Mycology Working Group. Med Mycol. 2008;46:57–65.
Centers for Disease Control. Revision of the CDC Surveillance Case Definition of Acquired Immunodeficiency Syndrome. MMWR 1987; 36 (Suppl. No 36).
Denning DW. Minimizing fungal disease deaths will allow the UNAIDS target of reducing annual AIDS deaths below 500 000 by 2020 to be realized. Philos Trans R Soc Lond B Biol Sci. 2016 Dec 5;371(1709).
López Daneri GA, Arechavala A, Iovannitti CA, Mujica MT. Histoplasmosis diseminada en pacientes HIV/SIDA: Buenos Aires, 2009-2014. Medicina. 76. 2016; 332-337.
Antinori S1, Magni C, Nebuloni M, Parravicini C, Corbellino M, Sollima S, Galimberti L, Ridolfo AL, Wheat LJ. Histoplasmosis among human immunodeficiency virus-infected people in Europe: report of 4 cases and review of the literature. Medicine (Baltimore). 2006 Jan;85(1):22-36
Maresca B, Kobayashi GS. Dimorphism in Histoplasma capsulatum: a model for the study of cell differentiation in pathogenic fungi. Microbiol Rev. 1989 Jun;53(2):186-209
Woods JP. Revisiting old friends: Developments in understanding Histoplasma capsulatum pathogenesis. J Microbiol. 2016 Mar;54(3):265-76.
Woods JP1, Heinecke EL, Luecke JW, Maldonado E, Ng JZ, Retallack DM, Timmerman MM.
Pathogenesis of Histoplasma capsulatum. Semin Respir Infect. 2001 Jun;16(2):91-101.
Taylor ML, Díaz S, González PA, Sosa AC, Toriello C. Relationship between pathogenesis and immune regulation mechanisms in histoplasmosis: a hypothetical approach. Rev Infect Dis. 1984 Nov-Dec;6(6):775-82.
Sepúlveda VE, Williams CL1, Goldman WE2. Comparison of phylogenetically distinct Histoplasma strains reveals evolutionarily divergent virulence strategies. MBio. 2014 Jul 1;5(4):e01376-14.
Kauffman CA. Histoplasmosis: a clinical and laboratory update. Clin Microbiol Rev. 2007 Jan;20(1):115-32.
Sizemore TC. Rheumatologic manifestations of histoplasmosis: a review. Rheumatol Int. 2013 Dec;33(12):2963-5.
Unis G, Pêgas KL, Severo LC. [Pulmonary histoplasmoma in Rio Grande do Sul]. Rev Soc Bras Med Trop. 2005 Jan-Feb;38(1):11-4.
Diaz RI, Sigler EJ, Rafieetary MR, Calzada JI. Ocular histoplasmosis syndrome. Surv Ophthalmol. 2015 Jul-Aug;60(4):279-95.
De D, Nath UK. Disseminated Histoplasmosis in Immunocompetent Individuals- not a so Rare Entity, in India. Mediterr J Hematol Infect Dis. 2015 Apr 20;7(1):e2015028.
Focà E, Odolini S, Brianese N, Carosi G. Malaria and hiv in adults: when the parasite runs into the virus. Mediterr J Hematol Infect Dis. 2012;4(1):e2012032
Adenis A, Nacher M, Hanf M, Vantilcke V, Boukhari R, Blachet D, Demar M, Aznar C, Carme B, Couppie P. HIV-associated histoplasmosis early mortality and incidence trends: from neglect to priority. PLoS Negl Trop Dis. 2014 Aug 21;8(8):e3100.
Untanu RV, Akbar S, Graziano S, Vajpayee N. Histoplasmosis-Induced Hemophagocytic Lymphohistiocytosis in an Adult Patient: A Case Report and Review of the Literature. Case Rep Infect Dis. 2016;2016:1358742.
Henter JI, Horne A, Aricó M, Egeler RM, Filipovich AH, Imashuku S, Ladisch S, McClain K, Webb D, Winiarski J, Janka G. HLH-2004: Diagnostic and therapeutic guidelines for hemophagocytic lymphohistiocytosis. Pediatr Blood Cancer. 2007 Feb;48(2):124-31.
Townsend JL, Shanbhag S, Hancock J, Bowman K, Nijhawan AE. Histoplasmosis-Induced Hemophagocytic Syndrome: A Case Series and Review of the Literature. Open Forum Infect Dis. 2015 Apr 15;2(2):ofv055.
Nyalakonda H, Albuerne M, Suazo Hernandez LP, Sarria JC. Central Nervous System Histoplasmosis in Acquired Immunodeficiency Syndrome. Am J Med Sci. 2016 Feb;351(2):177-86.
Wheat LJ, Musial CE, Jenny-Avital E. Diagnosis and management of central nervous system histoplasmosis. Clin Infect Dis. 2005 Mar 15;40(6):844-52.
Eidbo J, Sanchez RL, Tschen JA, Ellner KM. Cutaneous manifestations of histoplasmosis in the acquired immune deficiency syndrome. Am J Surg Pathol. 1993 Feb;17(2):110-6.
Klein IP, Martins MA, Martins MD, Carrard VC. Diagnosis of HIV infection on the basis of histoplasmosis-related oral ulceration. Spec Care Dentist. 2016 Mar-Apr;36(2):99-103.
Koene RJ, Catanese J, Sarosi GA. Adrenal hypofunction from histoplasmosis: a literature review from 1971 to 2012. Infection. 2013 Aug;41(4):757-9.
Nimitvilai S, Thammaprasert W, Vinyuvat S. Histoplasmosis myositis: a case report and literature review. Southeast Asian J Trop Med Public Health. 2015 Jul;46(4):738-42.
Mambie A, Pasquet A, Melliez H, Bonne S, Blanc AL, Patoz P, Ajana F. A case of immune reconstitution inflammatory syndrome related to a disseminated histoplasmosis in an HIV-1 infected patient. AIDS. 2013 Aug 24;27(13):2170-2.
Silva TC, Treméa CM, Zara AL, Mendonça AF, Godoy CS, Costa CR, Souza LK, Silva MR. Prevalence and lethality among patients with histoplasmosis and AIDS in the Midwest Region of Brazil. Mycoses. 2017 Jan;60(1):59-65.
Gupta N, Arora SK, Rajwanshi A, Nijhawan R, Srinivasan R. Histoplasmosis: cytodiagnosis and review of literature with special emphasis on differential diagnosis on cytomorphology. Cytopathology. 2010 Aug;21(4):240-4.
Qin L, Zhao L, Tan C, Chen XU, Yang Z, Mo W. A novel method of combining Periodic Acid Schiff staining with Wright-Giemsa staining to identify the pathogens Penicillium marneffei, Histoplasma capsulatum, Mucor and Leishmania donovani in bone marrow smears. Exp Ther Med. 2015 May;9(5):1950-1954.
Mukunyadzi P, Johnson M, Wyble JG, Scott M. Diagnosis of histoplasmosis in urine cytology: reactive urothelial changes, a diagnostic pitfall. Case report and literature review of urinary tract infections. Diagn Cytopathol. 2002 Apr;26(4):243-6.
Goldani LZ, Klock C, Diehl A, Monteiro AC, Maia AL. J Clin Microbiol. 2000 Oct;38(10):3890-1. Histoplasmosis of the Thyroid
Koley S, Mandal RK, Khan K, Choudhary S, Banerjee S. Disseminated Cutaneous Histoplasmosis, an Initial Manifestation of HIV, Diagnosed with Fine Needle Aspiration Cytology. Indian J Dermatol. 2014 Mar;59(2):182-5.
Ahuja A, Mathur SR, Iyer VK, Sharma SK, Kumar N, Agarwal S. Histoplasmosis presenting as bilateral adrenal masses: cytomorphological diagnosis of three cases. Diagn Cytopathol. 2012 Aug;40(8):729-31.
Neumann MP, Eng MH, Rholl KS, Swedo GJ, Meranze SG. Disseminated histoplasmosis diagnosed by percutaneous needle biopsy of a retroperitoneal lymph node. A case report. Acta Cytol. 1992 Jul-Aug;36(4):527-8.
Singh S, Chhabra S, Goyal R, Garg S. Cytodiagnosis of histoplasmosis: case reports from two patients with variable clinical presentation. Diagn Cytopathol. 2012 Dec;40(12):1090-2.
Muniz LB, Franco T, Ramos LM, Faria PR, Loyola AM, Cardoso SV. Oral exfoliative cytology in the diagnosis of histoplasmosis. Cytopathology. 2012 Jun;23(3):204-5.
Falci DR, Hoffmann ER, Paskulin DD, Pasqualotto AC. Progressive disseminated histoplasmosis: a systematic review on the performance of non-culture-based diagnostic tests. Braz J Infect Dis. 2017 Jan - Feb;21(1):7-11.
Hoffmann ER, Daboit TC, Paskulin DD, Monteiro AA, Falci DR, Linhares T, Flores JM, Goldani LZ, de Melo MG, Behar PR, Pasqualotto AC. Disseminated histoplasmosis and AIDS: a prospective and multicentre study to evaluate the performance of different diagnostic tests. Mycoses. 2017 Jan;60(1):20-24.
Iriart X, Blanchet D, Menard S, Lavergne RA, Chauvin P, Adenis A, Cassaing S, Fillaux J, Magnaval JF, Demar M, Carme B, Bessieres MH, Couppie P, Nacher M, Berry A, Aznar C. A complementary tool for management of disseminated Histoplasma capsulatum var. capsulatum infections in AIDS patients. Int J Med Microbiol. 2014 Nov;304(8):1062-5.
Rajeshwari M, Xess I, Sharma MC, Jain D. Acid-Fastness of Histoplasma in Surgical Pathology Practice. J Pathol Transl Med. 2017 Sep;51(5):482-487.
Antinori S. Histoplasma capsulatum: more widespread than previously thought. Am J Trop Med Hyg. 2014 Jun;90(6):982-3.
Wheat LJ, Azar MM, Bahr NC, Spec A, Relich RF, Hage C. Histoplasmosis. Infect Dis Clin North Am. 2016 Mar;30(1):207-27.
Guarner J, Brandt ME. Histopathologic diagnosis of fungal infections in the 21st century. Clin Microbiol Rev. 2011 Apr;24(2):247-80.
Mukhopadhyay S, Katzenstein AL. Biopsy findings in acute pulmonary histoplasmosis: unusual histologic features in 4 cases mimicking lymphomatoid granulomatosis. Am J Surg Pathol. 2010 Apr;34(4):541-6.
Ollague Sierra JE, Ollague Torres JM. New clinical and histological patterns of acute disseminated histoplasmosis in human immunodeficiency virus-positive patients with acquired immunodeficiency syndrome. Am J Dermatopathol. 2013 Apr;35(2):205-12.
McLeod DS, Mortimer RH, Perry-Keene DA, Allworth A, Woods ML, Perry-Keene J, McBride WJ, Coulter C, Robson JM. Histoplasmosis in Australia: report of 16 cases and literature review. Medicine (Baltimore). 2011 Jan;90(1):61-8.
Baddley JW, Sankara IR, Rodriquez JM, Pappas PG, Many WJ Jr. Histoplasmosis in HIV-infected patients in a southern regional medical center: poor prognosis in the era of highly active antiretroviral therapy. Diagn Microbiol Infect Dis. 2008 Oct;62(2):151-6.
Couppié P, Aznar C, Carme B, Nacher M. American histoplasmosis in developing countries with a special focus on patients with HIV: diagnosis, treatment, and prognosis. Curr Opin Infect Dis. 2006 Oct;19(5):443-9.
Akpek G, Lee SM, Gagnon DR, Cooley TP, Wright DG. Bone marrow aspiration,biopsy, and culture in the evaluation of HIV-infected patients for invasive mycobacteria and histoplasma infections. Am J Hematol. 2001 Jun;67(2):100-6.
Nightingale SD, Parks JM, Pounders SM, Burns DK, Reynolds J, Hernandez JA.Disseminated histoplasmosis in patients with AIDS. South Med J. 1990Jun;83(6):624-30.
Boyce KJ, Andrianopoulos A.Fungal dimorphism: the switch from hyphae to yeast is a specialized morphogenetic adaptationallowing colonization of a host. FEMS Microbiol Rev. 2015 Nov; 39(6):797-811.
rango-Bustamante K, Restrepo A, Cano LE, de Bedout C, Tobón AM, González A.Diagnostic value of culture and serological tests in the diagnosis ofhistoplasmosis in HIV and non-HIV Colombian patients. Am J Trop Med Hyg. 2013Nov;89(5):937-42.
Prechter GC, Prakash UB. Bronchoscopy in the diagnosis of pulmonary histoplasmosis.
Chest 1989; 95:1033.
Hage CA, Ribes JA, Wengenack NL, Baddour LM, Assi M, McKinsey DS, Hammoud K,Alapat D, Babady NE, Parker M, Fuller D, Noor A, Davis TE, Rodgers M, ConnollyPA, El Haddad B, Wheat LJ. A multicenter evaluation of tests for diagnosis ofhistoplasmosis. Clin Infect Dis. 2011 Sep;53(5):448-54.
Wheat LJ, Connolly-Stringfield PA, Baker RL, Curfman MF, Eads ME, Israel KS,Norris SA, Webb DH, Zeckel ML. Disseminated histoplasmosis in the acquired immunedeficiency syndrome: clinical findings, diagnosis and treatment, and review ofthe literature. Medicine (Baltimore). 1990 Nov;69(6):361-74.
Swartzentruber S, Rhodes L, Kurkjian K, Zahn M, Brandt ME, Connolly P, WheatLJ. Diagnosis of acute pulmonary histoplasmosis by antigen detection. Clin InfectDis. 2009 Dec 15;49(12):1878-82.
Lindsley MD, Holland HL, Bragg SL, Hurst SF, Wannemuehler KA, Morrison CJ.Production and evaluation of reagents for detection of Histoplasma capsulatumantigenuria by enzyme immunoassay. Clin Vaccine Immunol. 2007 Jun;14(6):700-9.
Scheel CM, Samayoa B, Herrera A, Lindsley MD, Benjamin L, Reed Y, Hart J, LimaS, Rivera BE, Raxcaco G, Chiller T, Arathoon E, Gómez BL. Development andevaluation of an enzyme-linked immunosorbent assay to detect Histoplasmacapsulatum antigenuria in immunocompromised patients. Clin Vaccine Immunol. 2009 Jun;16(6):852-8.
Cloud JL, Bauman SK, Neary BP, Ludwig KG, Ashwood ER. Performancecharacteristics of a polyclonal enzyme immunoassay for the quantitation ofHistoplasma antigen in human urine samples. Am J Clin Pathol. 2007Jul;128(1):18-22.
Theel ES, Harring JA, Dababneh AS, Rollins LO, Bestrom JE, Jespersen DJ.Reevaluation of commercial reagents for detection of Histoplasma capsulatumantigen in urine. J Clin Microbiol. 2015 Apr;53(4):1198-203.
Theel ES, Jespersen DJ, Harring J, et al. Evaluation of an enzyme immunoassay for
detection of Histoplasma capsulatum antigen from urine specimens. J Clin Microbiol 2013;
:3555.
Fandiño-Devia E, Rodríguez-Echeverri C, Cardona-Arias J, Gonzalez A. AntigenDetection in the Diagnosis of Histoplasmosis: A Meta-analysis of DiagnosticPerformance. Mycopathologia. 2016 Apr;181(3-4):197-205.
Raja HA, Miller AN, Pearce CJ, Oberlies NH Fungal Identification Using Molecular Tools: A Primer for the Natural Products ResearchCommunity. 1 J Nat Prod. 2017 Mar 24;80(3):756-770.
Babady NE, Buckwalter SP, Hall L, Le Febre KM, Binnicker MJ, Wengenack NL.Detection of Blastomyces dermatitidis and Histoplasma capsulatum from cultureisolates and clinical specimens by use of real-time PCR. J Clin Microbiol. 2011Sep;49(9):3204-8.
Bialek R, Cirera AC, Herrmann T, Aepinus C, Shearn-Bochsler VI, Legendre AM.Nested PCR assays for detection of Blastomyces dermatitidis DNA inparaffin-embedded canine tissue. J Clin Microbiol. 2003 Jan;41(1):205-8.
Molecular Identification of Fungi anuary 2010. Publisher: Springer ISBN: 978-3-642-05041-1
Panel on Opportunistic Infections in HIV-Infected Adults and Adolescents. Guidelines for the prevention and treatment of opportunistic infections in HIV-infected adults and adolescents: recommendations from the Centers for Disease Control and Prevention, the National Institutes of Health, and the HIV Medicine Association of the Infectious Diseases Society of America. Available at http://aidsinfo.nih.gov/contentfiles/lvguidelines/adult_oi.pdf. Accessed (25/07/2017)
- Johnson PC, Wheat LJ, Cloud GA, Goldman M, Lancaster D, Bamberger DM, Powderly WG, Hafner R, Kauffman CA, Dismukes WE; U.S. National Institute of Allergy and Infectious Diseases Mycoses Study Group. Safety and efficacy of liposomal amphotericin B compared with conventional amphotericin B for induction therapy of histoplasmosis in patients with AIDS. Ann Intern Med. 2002 Jul 16;137(2):105-9.
Goldman M, Zackin R, Fichtenbaum CJ, Skiest DJ, Koletar SL, Hafner R, Wheat LJ, Nyangweso PM, Yiannoutsos CT, Schnizlein-Bick CT, Owens S, Aberg JA; AIDS Clinical Trials Group A5038 Study Group. Safety of discontinuation of maintenance therapy for disseminated histoplasmosis after immunologic response to antiretroviral therapy. Clin Infect Dis. 2004 May 15;38(10):1485-9.
Consolidated Guidelines on the Use of Antiretroviral Drugs for Treating and Preventing HIV Infection: Recommendations for a Public Health Approach. Geneva: World Health Organization; 2013 Jun.
Focà E, Odolini S, Sulis G, Calza S, Pietra V, Rodari P, Giorgetti PF, Noris A, Ouedraogo P, Simpore J, Pignatelli S, Castelli F. Clinical and immunological outcomes according to adherence to first-line HAART in a urban and rural cohortof HIV-infected patients in Burkina Faso, West Africa. BMC Infect Dis. 2014 Mar21;14:153.
Ethics Approval
Review Article, Case ReportHow to Cite
“DISSEMINATED HISTOPLASMOSIS AS AIDS PRESENTATION. CASE REPORT AND COMPREHENSIVE REVIEW OF CURRENT LITERATURE” (2018) Mediterranean Journal of Hematology and Infectious Diseases, 10(1), p. e2018040. doi:10.4084/mjhid.2018.040.






