Case Reports
Vol. 3 No. 1 (2011): Reviews, Articles, Case Reports and Letters
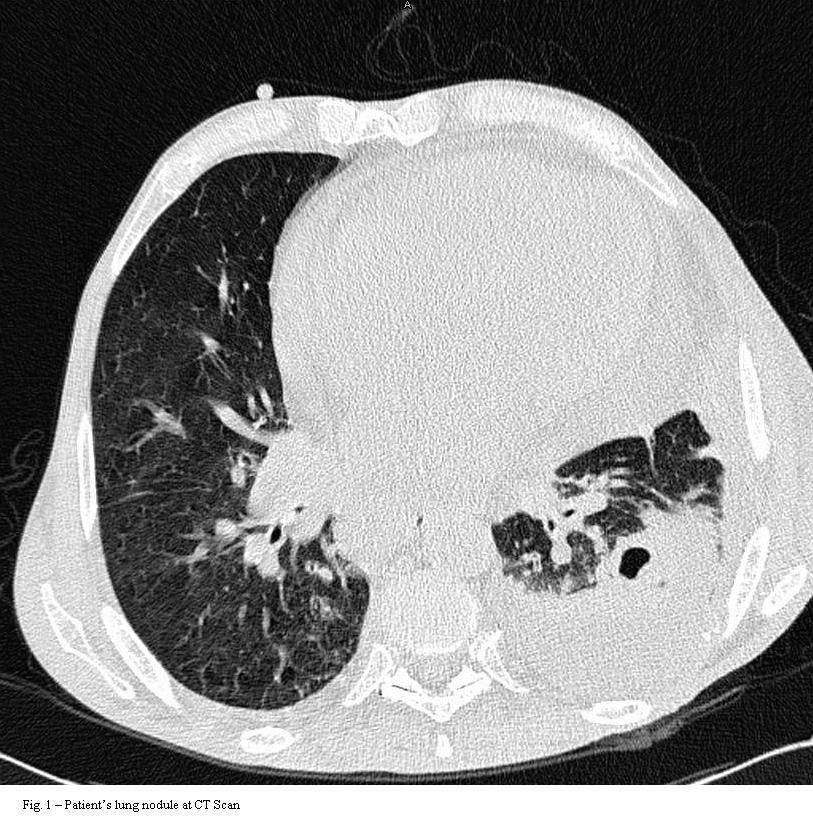
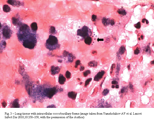
Brief tale of a bacteraemia by Rhodococcus equi with concomitant lung mass: what came first, the chicken or the egg?
Publisher's note
All claims expressed in this article are solely those of the authors and do not necessarily represent those of their affiliated organizations, or those of the publisher, the editors and the reviewers. Any product that may be evaluated in this article or claim that may be made by its manufacturer is not guaranteed or endorsed by the publisher.
All claims expressed in this article are solely those of the authors and do not necessarily represent those of their affiliated organizations, or those of the publisher, the editors and the reviewers. Any product that may be evaluated in this article or claim that may be made by its manufacturer is not guaranteed or endorsed by the publisher.
Published: January 17, 2011
9973
Views
1431
Downloads
8634
HTML
Infectious Diseases,






