Case Reports
Vol. 5 No. 1 (2013): Reviews, Articles, Case Reports and Letters
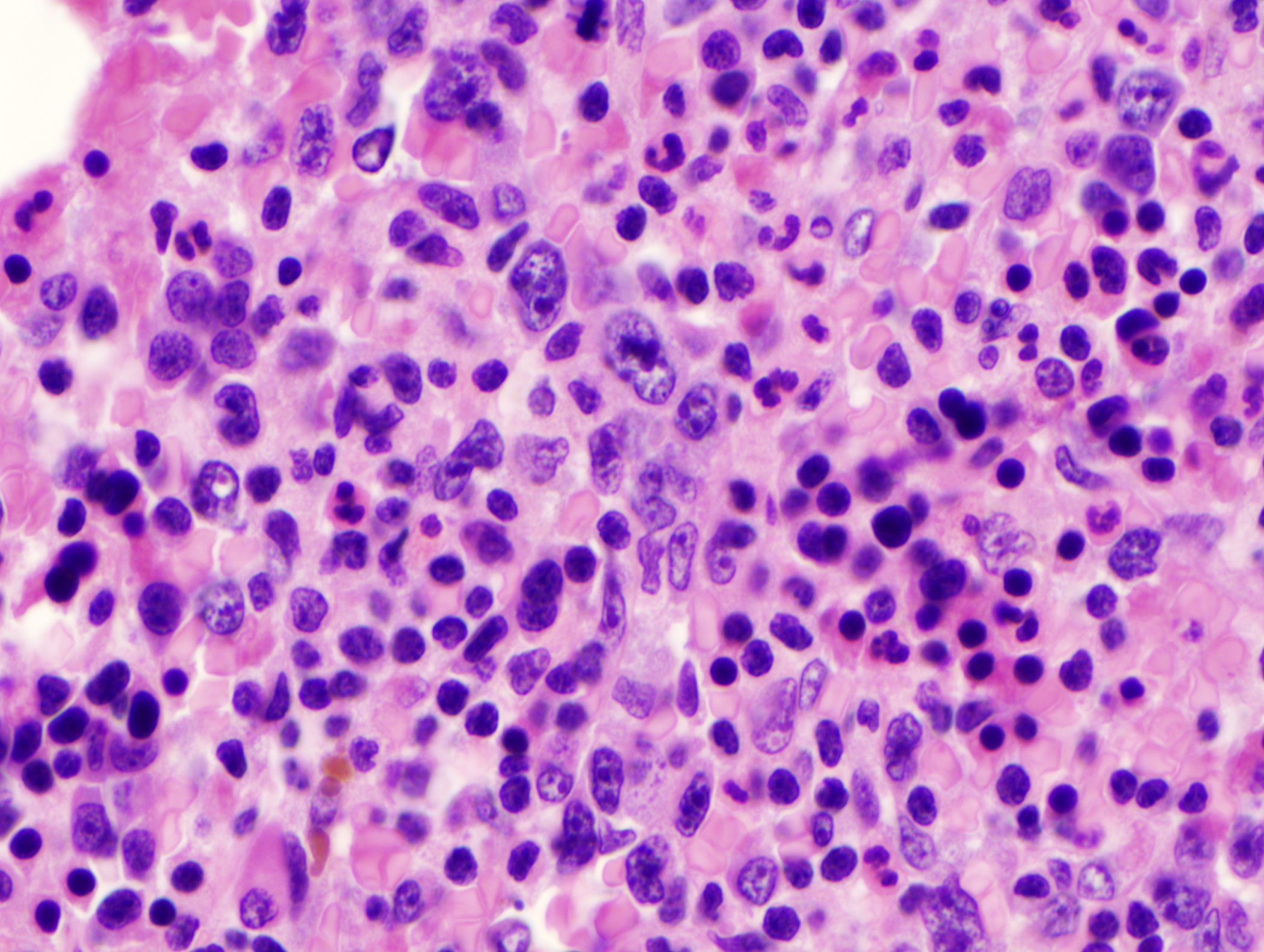
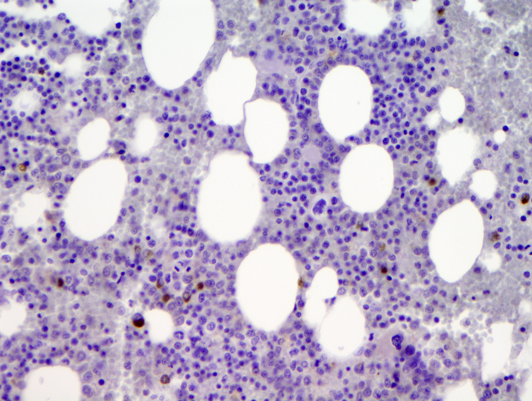
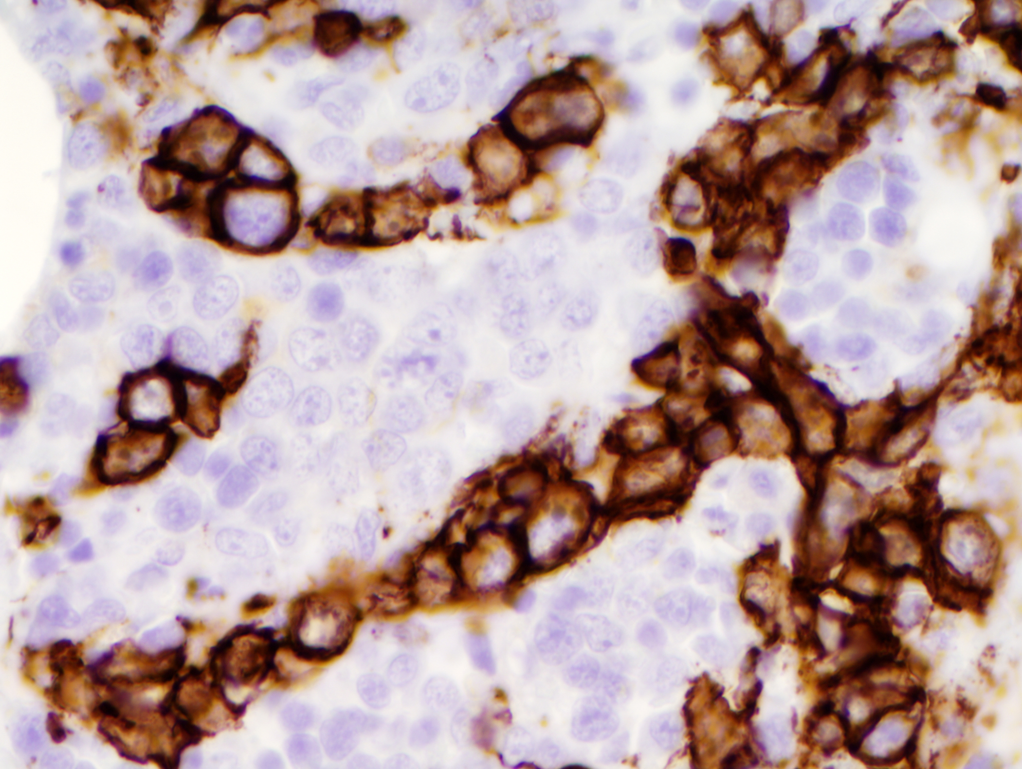
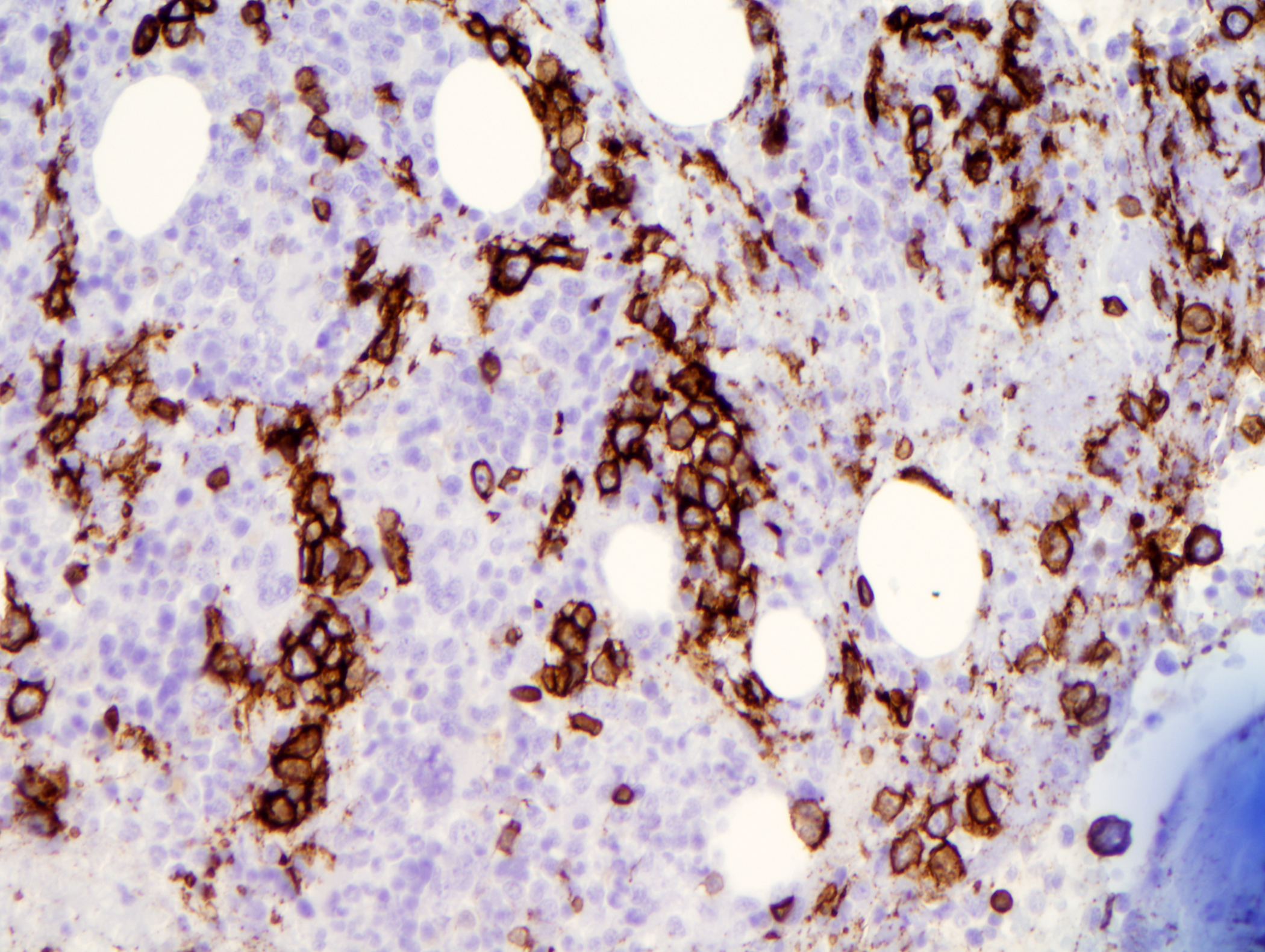
The labyrinth of pyrexia of unknown origin: A case of intravascular B cell lymphoma
Publisher's note
All claims expressed in this article are solely those of the authors and do not necessarily represent those of their affiliated organizations, or those of the publisher, the editors and the reviewers. Any product that may be evaluated in this article or claim that may be made by its manufacturer is not guaranteed or endorsed by the publisher.
All claims expressed in this article are solely those of the authors and do not necessarily represent those of their affiliated organizations, or those of the publisher, the editors and the reviewers. Any product that may be evaluated in this article or claim that may be made by its manufacturer is not guaranteed or endorsed by the publisher.
Published: February 20, 2013
4132
Views
1429
Downloads
2396
HTML
Hematology,
Internal medicine






