Case Reports
Vol. 4 No. 1 (2012): Reviews, Articles, Case Reports and Letters
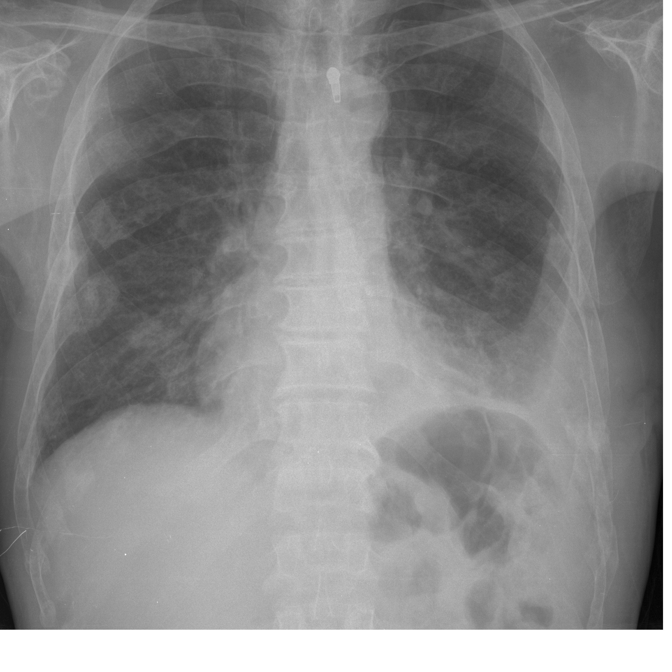
Flow Cytometry Method as a Diagnostic Tool for Pleural Fluid Involvement in a Patient with Multiple Myeloma
Publisher's note
All claims expressed in this article are solely those of the authors and do not necessarily represent those of their affiliated organizations, or those of the publisher, the editors and the reviewers. Any product that may be evaluated in this article or claim that may be made by its manufacturer is not guaranteed or endorsed by the publisher.
All claims expressed in this article are solely those of the authors and do not necessarily represent those of their affiliated organizations, or those of the publisher, the editors and the reviewers. Any product that may be evaluated in this article or claim that may be made by its manufacturer is not guaranteed or endorsed by the publisher.
Published: October 3, 2012
5870
Views
1034
Downloads
4535
HTML
Hematology






