Original Articles
Vol. 8 (2016): Review, Original Articles, Case Reports
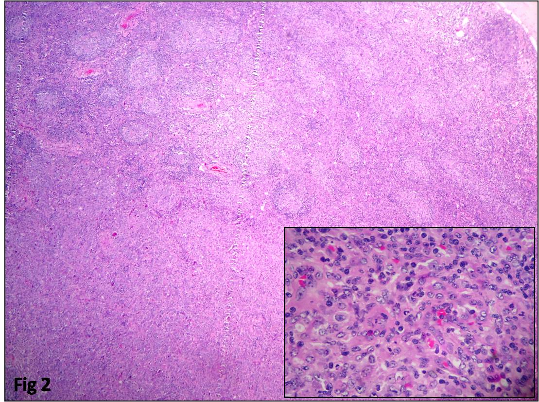
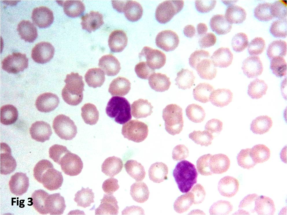
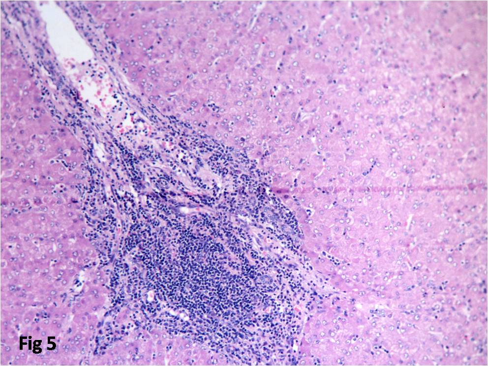
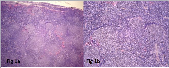
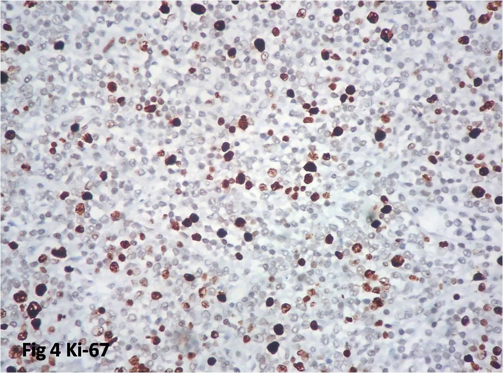
Follicular Lymphoma: A Clinicopathological Analysis from a Tertiary care Institute in Southern India
Publisher's note
All claims expressed in this article are solely those of the authors and do not necessarily represent those of their affiliated organizations, or those of the publisher, the editors and the reviewers. Any product that may be evaluated in this article or claim that may be made by its manufacturer is not guaranteed or endorsed by the publisher.
All claims expressed in this article are solely those of the authors and do not necessarily represent those of their affiliated organizations, or those of the publisher, the editors and the reviewers. Any product that may be evaluated in this article or claim that may be made by its manufacturer is not guaranteed or endorsed by the publisher.
Received: August 29, 2016
Accepted: October 17, 2016
Accepted: October 17, 2016
6052
Views
1624
Downloads
2917
HTML
Hematology,
Lymphoma






